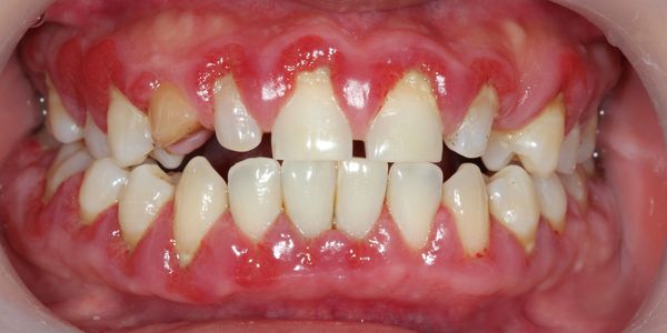
The Smile Shop (our hygienist and doctor) have determined you need scaling & root planing (SRP), aka "deep cleaning." This has been determined by reviewing your radiographs (looking for bone loss and calculus), periodontal charting (looking for pockets >3 mm) and clinical evaluation (appearance of gum tissues). By combining all your information, we have recommend a deep cleaning to go deeper into pockets and remove bacteria (biofilm) and calculus. If you have active periodontal disease, a "cleaning" won't be enough to stop progression of disease.
Our dental team has determined that you have active periodontal disease. SRP is a non-surgical intervention to remove plaque and calculus from the teeth. Healthy gum pockets range from 1 to 3 mm, when your pockets exceed this amount your hygienist will need to go further down your tooth onto the root structure. Over time, bacteria and calculus become embedded on the root surfaces causing the destruction of your supporting structures/bone.

We want to ensure all of our patients are comfortable during their cleaning experience. Therefore, we will use a topical anesthetic made from Lidocaine and Prilocaine to ensure it is comfortable.
We are working hard to get our new location up and running. Starting March 6th, we will run as a fully operational dental spa. Grand opening specials include $99 New Patient Special (X-rays, comp. Exam) with FREE take home whitening. Professional in-office whitening only $249!
We use cookies to analyze website traffic and optimize your website experience. By accepting our use of cookies, your data will be aggregated with all other user data.